移動式C形臂X射線機有著二維和三維之分,它們都具備透視與攝影功能,能夠為醫生提供術中影像引導。
三維C形臂也被稱為“術中CT”,它具備二維C形臂的全部功能。此外,它還具備三維成像功能,三維C形臂旋轉采集多角度的二維投影數據,再通過計算機進行三維重建,能夠生成橫斷面、矢狀面、冠狀面斷層圖像以及三維立體圖像,提供更全面、更立體的解剖學信息。
三維C形臂采集的圖像究竟比二維C形臂好在哪?下面我們結合臨床病例的影像來解答!
二維正側位影像
三維“類CT”影像
在臨床使用中,三維C形臂能看到二維影像所觀察不到的信息:
病例1:右側股骨遠端骨骺骨病(13歲)
二維影像看不到病灶點
三維切面影像可以看出病灶點
病例2 踝關節骨折復位(31歲)
在踝關節骨折復位手術中,用三維C可以更好地觀察骨折部位的復位情況:
正側位影像觀察脛腓聯合復位良好
從三維影像看,復位欠佳,貼合度不夠
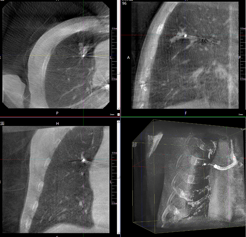
病例3:超聲支氣管鏡下肺活檢(80歲)
三維C形臂還可以創新性地應用在呼吸介入領域。例如,在經皮穿刺或經支氣管鏡肺結節活檢、定位、消融等場景中,用于確認工具是否到達病灶、消融范圍是否完全覆蓋病灶等。
二維影像無法準確判斷工具是否到達病灶
三維各切面影像都顯示工具達到病灶內
二維C形臂提供的影像存在固有局限性,其成像原理是基于單一方位的投影,導致深部解剖結構信息缺失,且容易受到骨骼和組織的重疊干擾,使得部分病灶難以清晰顯示,甚至被掩蓋。相比之下,三維C形臂通過三維重建技術,可以獲得類似CT的斷層掃描圖像,從而解決了二維影像的重疊問題。
醫生能夠利用這些三維圖像,更直觀、更深入地分析病變,進行全方位觀察,例如:精確評估骨折復位情況、清晰顯示內植入物的位置及其與周圍組織的關系等。尤其在復雜骨折、脊柱手術、呼吸介入等臨床場景中,三維C形臂提供的詳細信息對手術導航和療效評估至關重要。


