醫院用什么設備拍片?醫院放射科檢查通常包括三類:DR(數字化拍片機器,也就是俗稱的“X光”)、CT(電子計算機體層掃描)、MRI(磁共振成像)。對一般人來說,統稱就是“拍片子”,三者具體有什么區別呢?
DR檢查
DR檢查也就是俗稱的拍X光。DR是在普通X光拍片的基礎上,發展成為數字化X線拍片,通俗一點來理解,就是傳統X光的進階版,但本質還是差不多的,主要還是利用X射線的穿透性原理。雖然檢查部位和普通X光拍片都一樣,但DR的圖像分辨率明顯比X光高,放射線輻射劑量也降低了非常多。
DR常用于人體胸部及骨骼攝片,也可拍攝其他部位,例如腹部、牙齒、頭顱等。使用人群較廣,可以進行全身各部位檢查,曝光后幾秒就可獲得數字影像,成像速度快,且價格便宜,極大提高了工作效率,方便臨床重癥、急癥患者的診治。

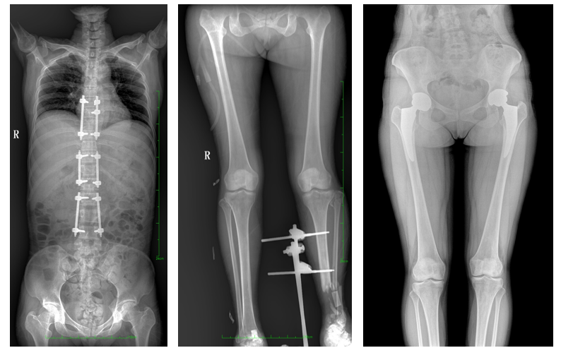
站立位X線影像是測定人體負重骨骼的生物學力線、對稱結構平滑線及脊柱側凸角等首選的檢查內容,這和CT、MRI臥位成像,在臨床意義上有著根本區別。在脊柱及下肢的臨床治療過程中,一般需要進行矯正和關節置換手術治療,在對其進行手術前后,均需要拍攝站立位負重X光片以便分析病情,明確診斷和觀察治療效果。
常規DR拍攝面積有限,最大規格僅有43cm,但成人男性全脊柱長度平均為70-75cm,女性為66-70cm,而雙下肢更長。普愛醫療PLX8600動態DR的43cm*86cm超大有效視野,可一次成像全脊柱及雙下肢。
CT檢查
CT檢查原理是X光分層穿過人體,這就像把面包切成薄片,每一片都可以攤開看。當遇到外傷懷疑傷到骨頭,可以選擇CT觀察隱匿損傷或軟組織損傷。
CT適用于頭部、胸部、腹部、盆腔、脊柱、四肢、骨骼等處,由于它的特殊診斷價值,已經廣泛應用于臨床,特別是在腫瘤的診斷上更是具有很高的應用價值。但由于CT設備較為昂貴,檢查費用也會偏高,對于某些部位的檢查和診斷價值,尤其是定性診斷,還有一定限度,所以在臨床上并沒有將CT檢查視為常規診斷手段。此外,CT診斷輻射量大于DR,所以懷孕或備孕期女性不宜進行CT檢查。
MRI檢查
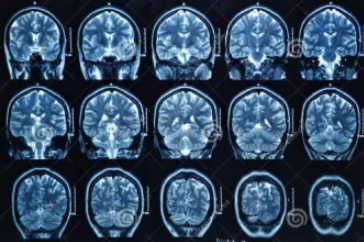
MRI也就是磁共振成像,屬于斷層成像的一種,它是利用磁共振現象從人體中獲得電磁信號,并重建出人體信息。通過檢查可獲得橫斷面、矢狀面、冠狀面的影像,空間分辨率高,是神經系統、脊柱脊椎部分檢測的第一選擇。
無論是DR還是CT,由于對部分軟組織的分辨率不足,所以軟組織疾病的排查便成了它們的短板,而磁共振的長處恰恰就是清晰顯示軟組織疾病,對于膀胱、直腸、子宮及關節肌肉的檢查優于CT。MRI適用于神經系統病變、心血管系統、胸部病變、全身軟組織病變等。
拍片會有輻射嗎?
一直以來,都有患者因為擔心輻射而拒絕做影像檢查。事實上,輻射無處不在,比如說強烈紫外線的輻射、電腦、手機的輻射等等,這些都是每天都要面對的,它們并不會對人體造成傷害。
輻射劑量常用的單位是毫西弗(mSv),我國規定每位放射科醫生每年接觸到的輻射劑量不得超過20毫西弗,在這個范圍內相對安全。很顯然,接受檢查的人不會承擔比醫生更大的風險。而從醫學上來說,一般只有遭受100mSv以上的輻射量,人體患癌的概率才會明顯增加。我們平時接觸到的檢查手段,輻射劑量與這個值差距是很大的,比如我們常說的拍片子,也就是X光檢查,它的輻射劑量對人體來說非常低,只有0.1毫西弗,相當于人類在地球上生活10天所受到的自然輻射。這樣的數據對比,你是不是也覺得輻射遠沒有想象的那么可怕?
X光檢查、CT檢查的輻射量也都在安全范圍內。因此,在接受檢查時,輻射的劑量并不會對患者的身體造成危害,更不必因為存在輻射選擇不做檢查,忽視了健康。


