多功能dr集合拍片、造影、胃腸、透視等多種功能。可以理解為一種不同角度觀察器官運動的X光視頻,可以從不同的角度、時間來觀察器官的運動,診斷準確率會大大提升。面對常規dr誤診漏診頻繁出現的情況,多功能dr是如何用其產品優勢彌補缺陷的?接下來小編帶大家先來看一組動態臨床案例。

如下圖所示:該患者因吞咽時感到很難受,進食時也經常咳嗽故就醫診斷。使用多功能dr為病人進行消化道造影診斷,要求他吞鋇后發現,食道各段通過順利,形態規則,雙側梨狀窩不對稱左側稍淺,多次吞咽動作后,仍見鋇劑滯留,并見鋇劑進入氣管,屬于會厭征陽性。會厭功能紊亂,鋇劑進入了氣管。
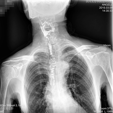
圖為正位:通過動態影像可以清楚看到鋇劑進入了支氣管道且雙側梨狀窩不對稱
圖為斜位:通過動態影像可以清楚看到鋇劑進入了支氣管道
檢查意義及臨床優勢:
通過多功能dr可以診斷該病人的癥狀為會厭功能紊亂,鋇劑進入到了氣管。而在動態透視下可以清晰的觀察到鋇劑從何處進入氣管,可清晰顯示食管粘膜結構。使用多功能dr其獨特的視頻采集技術,可實時保存視頻并能實現900萬像素實時點片,才能獲取這樣清晰的病灶點。而常規dr只能拍攝靜態片,且成像效果大打折扣,因此較難確診病灶。
由此可見,多功能dr所采用的數字探測器,全幀技術可以得到盡量大的光電二極管,能夠輸出更穩定清晰的影像質量。數字高壓技術具有高壓快門,能夠在毫秒級時間內,實現高壓的切換。超級圖像處理技術采用雙通道算法以及并行圖像處理技術。多功能dr的探測器為17×17 ,完全可以在同一個屏幕中獲取整個檢查部位的視野,便于觀察。
其次采用多功能dr視頻采集技術,經過一次順利的檢查后保存視頻,可以實時回顧分析采集圖像,也有利于疾病的隨訪、對比及會診。此外,在骨科診斷過程中,由于隱匿性骨折范圍小、程度輕,即使使用CT檢查敏感性也不高,MRI檢查費用過于昂貴,而用多功能dr透視下的多軸位點片,可以明確隱匿性骨折的診斷,是避免誤診隱匿性骨折的有效辦法之一。
多功能dr對某些重疊病灶的診斷有著極高的臨床意義,在常規dr所拍攝的靜態片中很難區分重疊病灶是處在什么位置及哪個器官上,而通過動態觀察可以清晰的判斷和診斷,正是具有諸如此類的巨大優勢也因此獲得了越來越多高等級醫院的認可。如果您想采購普愛醫療的多功能dr,歡迎聯系我們。


